Breaking News
  • Editor's Top Picked Article Vol 20(1), Jan 2025 issue
  • Important Announcement : APC
  • Editor's Top Picked Article Vol 18(2), 2023
  • Editor's recommended article Vol 18(1), 2023
Home

Main navigation

  • Home
  • About
    • About Us
    • Aim and scope
    • Editorial Board
    • Editorial Policies and Ethics
    • Fee policy
    • Browse Issues
  • Issues

    CURRENT ISSUE

    Vol. 20 No. 6 (suppl) : 2025
    BRIOWSE ISSUES

    Latest Issues

    • Parasitology & Tropical Medicine Symposium
      Issue 04 Nov, 2025
      Vol. 20 No. 6 (suppl) : 2025
    • Asia Oceanic Society of Paediatric and Adolescent Gynaecology (AOSPAG) Congress
      Issue 15 Oct, 2025
      Vol. 20 No. 5 (suppl) : 2025
    • 14th Allied Health Scientific Conference 2025
      Issue 25 Sep, 2025
      Vol. 20 No. 4 (suppl) : 2025
    • 27th Medical & Health Research Week
      Issue 17 Sep, 2025
      Vol. 20 No. 3 (suppl) : 2025
    • Med Health 20(2), 2025
      Issue 17 Jul, 2025
      Vol. 20 No. 2 : 2025
    more issues

    FEATURED

    AIMEC
    30 Dec, 2024

    Vol. 19 No. 9 (suppl) : 2024

  • For Authors
    • Guidelines for Authors
    • Keyword guideline (MeSH)
    • Submit Manuscript
  • For reviewer
    • Peer Review Process
  • Contact

Menu second

  • About
  • Issues
  • Gallery

Breadcrumb

  1. Home  / 
  2. Original Article
Original Article
17 Jul, 2025

Comparing Breastfeeding Outcomes in Mothers Conceiving via Assisted Reproduction versus Spontaneous Conception: A Retrospective Cohort Study

Original Article
17 Jul, 2025

Psychometric Evaluation of the Reminiscence Functions Scale in the Malay Language for Older Adults

FIGURE 1: Breathing exercise protocol
Original Article
17 Jul, 2025

Development and Pilot Trial of Mixed Exercise Programme for Hypertensive Individual: Breathing Exercises and Bodyweight HIIT

Summary of the themes that emerged regarding the experience of smokers setting a quit date
Original Article
17 Jul, 2025

A Qualitative Exploration of Smoker’s View of Smoking Cessation and Setting of a Quit Date

Original Article
17 Jul, 2025

Quality of Life Evaluation among Overweight and Obese Staffs at Universiti Kebangsaan Malaysia

Macroscopic view of wounds of rat experimental groups: NC, VC, ST and CE against treatment day 0, 3, 6, 9, 10, 11, 12 and 13. Normal group without treatment (NC), vehicle dressing (VC), povidone-iodine ointment dressing as standard treatment (ST) and 2.0% of C. zeylanicum extract dressing (CE). Scale bar was 20 u.
Original Article
17 Jul, 2025

Evaluation of Wound Healing, Antioxidant and Antimicrobial Effects of Cinnamomum zeylanicum Extracts: In Vivo and In Vitro Approaches

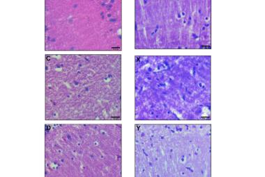
Microscopic appearance of ventral diencephalon stained with H & E (left) and cresyl violet (right) in different treated groups. A and V: normal group; B and W: negative (MPTP-treated) group; C and X: LD (25 mg/L) group; D and Y: MD (50 mg/L) group and E and Z: HD (100 mg/L) group
Original Article
17 Jul, 2025

Therapeutic Potential of Alkaloid-rich Mitragyna speciosa Extract in MPTP-Induced Zebrafish Parkinson’s Disease Model

Pagination

  • First page « First
  • Previous page ‹‹
  • Page 1
  • Page 2
  • Current page 3
  • Page 4
  • Page 5
  • Page 6
  • Page 7
  • Page 8
  • Page 9
  • …
  • Next page ››
  • Last page Last »

Recent Articles

  • 01
    Parasitology & Tropical Medicine Symposium
  • 02
    2nd Asia Oceanic Society of Paediatric and Adolescent Gynaecology (AOSPAG) Congress
  • 03
    14th Allied Health Scientific Conference 2025
  • 04
    27th Medical & Health Research Week
  • 05
    Return of Spontaneous Circulation in Traumatic Cardiac Arrest Achieved by Traumatic-Based Resuscitation – A Case Report
  • 06
    Comparison of Cumulus Cells Preparation among Diminished Ovarian Reserved and Normal Ovarian Reserved Women for RNA Extraction and Review of Literature

Contact info

Secretariat of Research & Innovation, Faculty of Medicine Universiti Kebangsaan Malaysia
Level 6, Preclinical Building,
Jalan Yaacob Latif,
Bandar Tun Razak,
56000 Cheras
  • Kuala Lumpur, Malaysia
  • 03-91458798
  • medhealthukm@gmail.com

Explore

  • About Us
  • Advertise
  • Terms & Conditions
  • Privacy Policy
  • Careers
  • News

Guidelines

  • Author guidelines
  • Keyword guideline (MeSH)
  • Reviewer Guidelines

Newsletter subscription

Subscribe to our newsletters. Never miss an issue or our latest news.
The subscriber's email address.
Manage existing

User login

"Start your submission journey and see your research make a greater impact."

© Copyright Medicine and Health UKM 2025. All Rights Reserved.